Que es la Implantología Corticobasal Estratégica y porque es la mejor opción?
La Implantología Estratégica Cortico Basal de Carga Inmediata es una técnica revolucionaria de implantes dentales desarrollados en Suiza bajo la marca IhdeDental y avalados por la International Implant Foundation (IF) de Munich, Alemania, que permite la rehabilitación dental con prótesis fijas en tan solo 72 o 48 horas, e incluso el mismo día, sin necesidad de injertos óseos ni cirugías invasivas.
Si te han dicho que no eres candidato para implantes por pérdida ósea severa o atrofia dental, esta innovadora técnica desarrollada por el Dr. Stefan Ihde es la solución ideal. Gracias a la oseofijación en las corticales óseas 2ª y 3ª, los implantes logran una estabilidad inmediata, permitiendo la colocación de dientes fijos sin esperar meses de cicatrización.

✅ Sonrisa renovada en tiempo récord: No esperes meses para recuperar tu calidad de vida.
✅ Evita injertos óseos y cirugías invasivas: Ideal para pacientes con mínima estructura ósea.
✅ Apto para casos complejos: Rehabilita desde un solo diente hasta arcadas completas.
✅ Carga inmediata: Disfruta de dientes fijos en 72 horas.
✅ Técnica segura y probada: Desarrollada científicamente a nivel internacional.
✔️ Personas que han perdido uno o más dientes por accidente, fractura o periodontitis.
✔️ Pacientes con atrofia ósea severa o mínimas estructuras de soporte.
✔️ Pacientes con zonas edéntulas (sin dientes): total o parcial
✔️ Personas que han sido desahuciadas para implantología convencional.
✔️ Pacientes con enfermedades sistémicas como diabetes, hipertensión o cardiopatías.
✔️ Personas que buscan una rehabilitación dental rápida, efectiva y sin complicaciones.
✔️ Personas que han perdido uno o más dientes por accidente, fractura o periodontitis.
A diferencia de los métodos tradicionales que requieren meses de espera para la rehabilitación y en muchas ocasiones injertos y procedimientos adicionales, la Implantología Estratégica® utiliza un sistema de oseofijación inmediata con anclajes córticobasales, inspirado en técnicas de ortopedia y traumatología, logrando un 98% de éxito. Gracias a este procedimiento, pacientes que antes no tenían alternativa ahora pueden recuperar su sonrisa en tiempo récord.

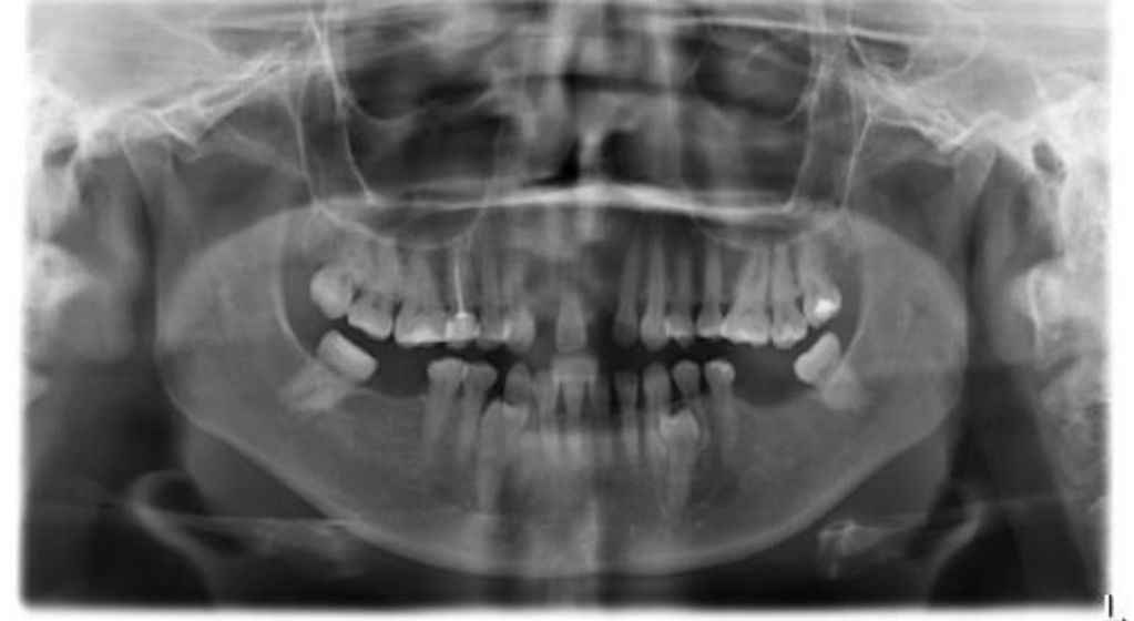
En la Rx. Panorámica de diagnóstico observamos ausencia de los diente 12 y 21 con una atrofia ósea severa, razón por la cual, ya le habían dicho al paciente en otras clínicas odontológicas, que necesitaba injertos óseos y un tiempo de tratamiento de 1 año.

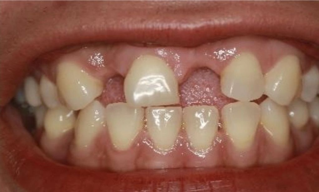
Observamos la foto clínica antes del procedimiento donde podemos apreciar la ausencia de los dientes 12 y 21, lo cual generaba mucha inseguridad en el paciente.

Observamos la prótesis removible que usaba el paciente antes del procedimiento, la cual tallaba, se movía y era bastante incomoda para el paciente.

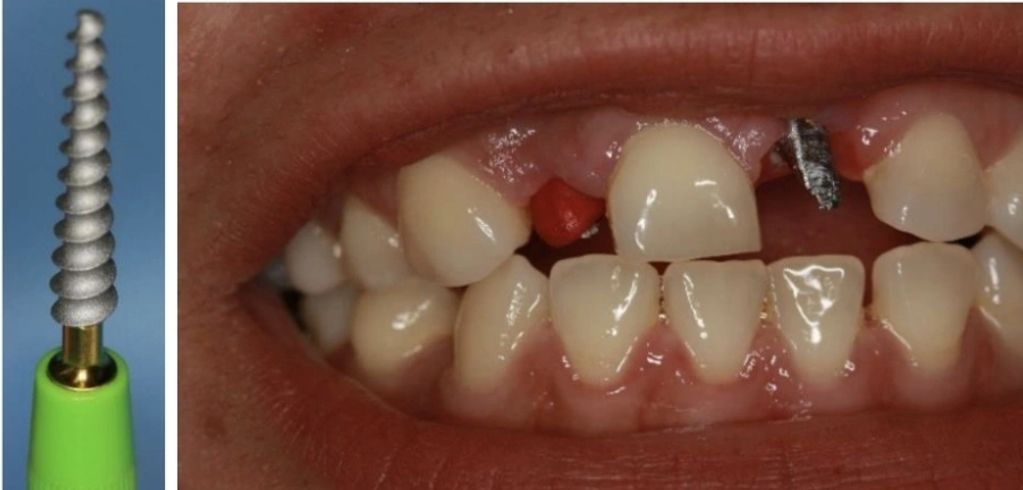
Observamos la foto inmediatamente al finalizar el procedimiento en el cual posicionamos 2 implantes corticobasales estratégicos mediante una cirugía minimamente invasiva, sin levantar colgajos de encía.

Observamos la Rx. Panorámica de control donde podemos apreciar los dos implantes en posición, según la planificación realizada para este caso de alta complejidad.

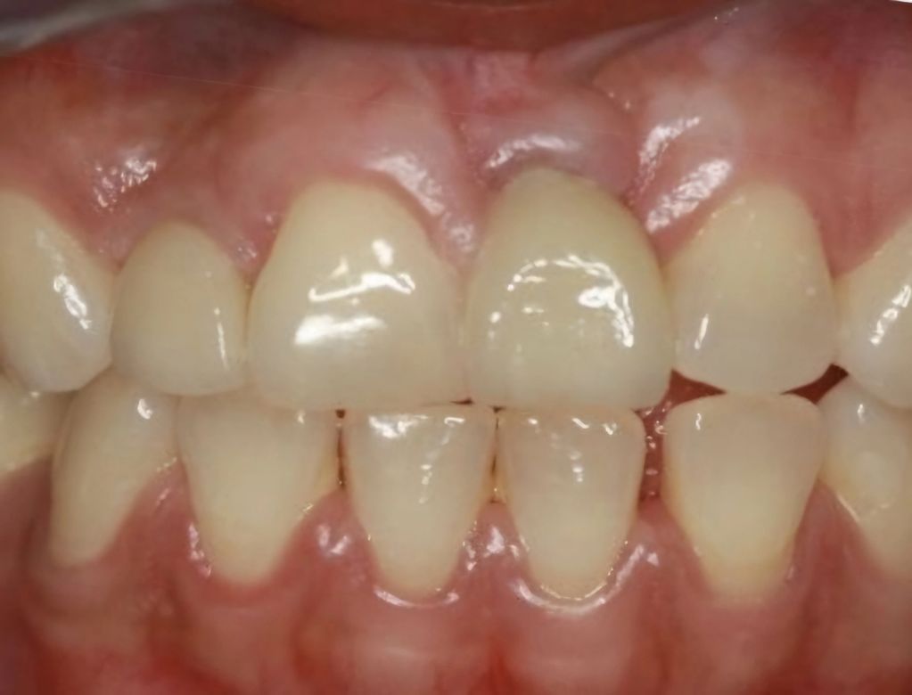
Al finalizar el procedimiento se tomaron los registros y se dejaron coronas acrílicas provisionales; 3 días después se instalaron definitivamente coronas en zirconio libres de metal. Tratamiento realizado en tan solo 72 horas.


Implante en una sola fase. El mismo día que se pone el implante, se le instala la corona, sin cirugías invasivas, sin injertos de hueso, sin largas esperas. Renueva tu sonrisa en 72 horas! Contactanos para analizar tu caso y hacer un presupuesto personalizado.
Calle 34B #66A-46, Laureles - Estadio, Medellín, Antioquia, Colombia
Hoy | Cerrado |
Usamos cookies para analizar el tráfico del sitio web y optimizar tu experiencia en el sitio. Al aceptar nuestro uso de cookies, tus datos se agruparán con los datos de todos los demás usuarios.